低侵襲直達外科チーム
MEMBER






主な対象疾患
内視鏡を駆使して、小さな入り口から手術を行います
- 脳腫瘍
(髄膜腫、下垂体腺腫、聴神経鞘腫、頭蓋咽頭腫、脊索腫、類上皮腫、神経膠腫、転移性脳腫瘍など) - 三叉神経痛、顔面けいれん(内視鏡を使った神経血管減圧術を行います)
- 頭蓋底悪性腫瘍(耳鼻科、形成外科と合同手術を行います)
- 直達手術を要する脳血管障害(脳出血、脳動脈瘤、脳動静脈奇形、バイパス術を要する脳虚血など)
最小の傷で最大の効果を
神経内視鏡手術と頭蓋底にできる良性腫瘍の手術を得意とするチームで、内視鏡と外視鏡を組み合わせた独自の方法でなるべく最小限の傷で手術を完遂できるように取り組んでいます。内視鏡・外視鏡手術を熟知した医師が手術を行うためより安全な手術が可能です。



3D外視鏡を用いた手術
複雑な頭蓋底の腫瘍も、4K外視鏡と内視鏡の組み合わせで最小限の傷から根治性が得られる手術に取り組んでいます。
内視鏡を用いた手術
内視鏡を使った経鼻手術で下垂体腺腫、頭蓋咽頭腫などの正中頭蓋底病変の摘出や、透明の筒を介した脳実質内腫瘍、脳室内腫瘍の摘出を行っています。
2019年9月より当院では3D 外視鏡を導入し、4K内視鏡も利用して低侵襲手術に取り組んでいます。3D外視鏡とは、従来の手術用顕微鏡にかわる機器で、小さな鏡体が術野をとらえ、高精細モニターに映し出された画面を見て手術を行います。小さいことに加えて、視線の自由度が高いために、患者様と術者は無理な姿勢を取らずに安全な手術ができます。この方法を導入以降、うつ伏せや横向きの姿勢での手術は激減し、麻酔のリスクや、褥瘡のリスクの軽減に貢献しています。さらに内視鏡をうまく使うことによって、小さな入り口から頭蓋内の隅々まで観察できるようになります。従来の手術法では開頭や手術創を大きくして、さまざまな方向から観察、操作していた手術を、小さな傷で同じ結果が出せるようになりました。
脳腫瘍(髄膜腫、下垂体腺腫、聴神経鞘腫、頭蓋咽頭腫、脊索腫、類上皮腫、神経膠腫、転移性脳腫瘍など)
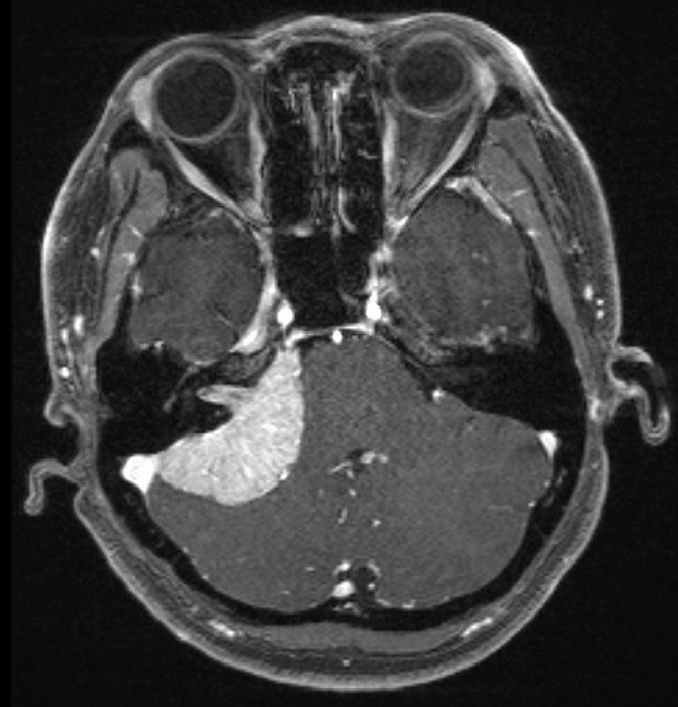
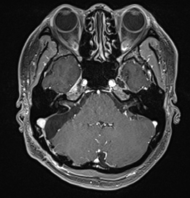
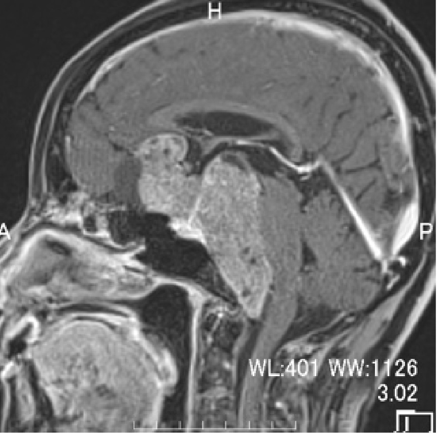
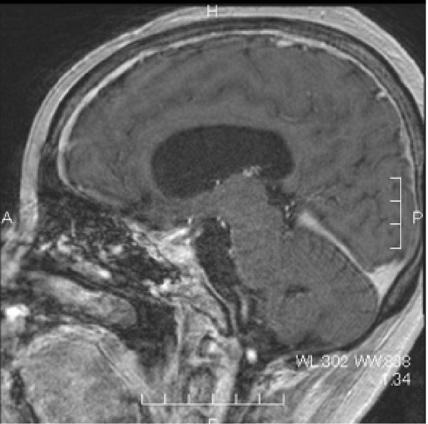
外視鏡と内視鏡を組み合わせて治療した腫瘍のMRI画像です。
髄膜腫:小脳、脳幹、聴神経などが圧迫されている

術前MRI

術後MRI

創部画像
なるべく傷が目立たないような工夫をしています。
二重線に沿った傷
手術後1週間程度でほぼ目立ちません




手術前

手術後
Hair Line内の小さな傷
手術直後の皮膚の傷


手術1ヶ月後の外来での傷
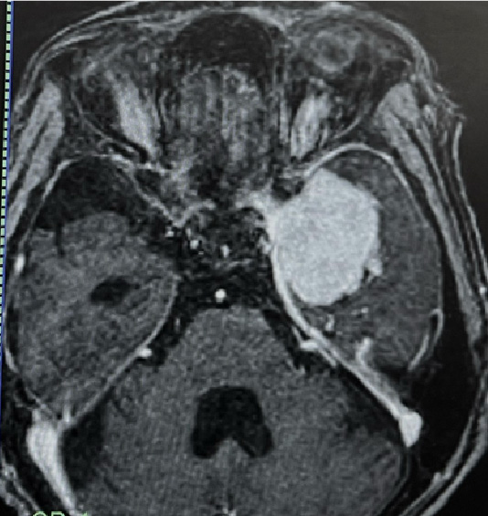
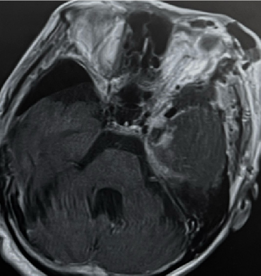
内視鏡下経鼻手術(鼻の穴からの手術)
術野には鼻だけ出ています。このような大きな腫瘍も内視鏡を用いて鼻の穴から手術が可能です。
手術室の様子
術中イラスト

術前MRI

術後MRI
脳内、脳室内腫瘍に対する内視鏡下シリンダー手術
脳内、脳室内の腫瘍に到達するために、10-12㎜の透明の筒を使用して脳内に挿入し、内視鏡下に操作を行います。脳出血の内視鏡手術から発展した術式です。病変が脳の深部にあっても細いシリンダーを介して内視鏡が術野に入り、広く明るい視野で観察できます。また水中の観察も非常に有用です。脳室内腫瘍、神経膠腫、転移性脳腫瘍、海綿状血管腫などがこの手術の対象となります。



頭蓋底悪性腫瘍(耳鼻科、形成外科との合同手術)
当院では、頭蓋底にできた悪性腫瘍に対する一塊切除手術を行っています。耳鼻科と協力し、頭蓋底悪性腫瘍の完全摘出を目指します。この手術は、腫瘍を露出せずに正常域で切断する必要があり、複雑な頭蓋底の解剖を熟知していないと安全に行うことができません。当科の担当医は、この手術に対する知識と経験が豊富であり、良好な成績を修めています。この手術にも内視鏡や外視鏡を取り入れて新たな展開を試みています。
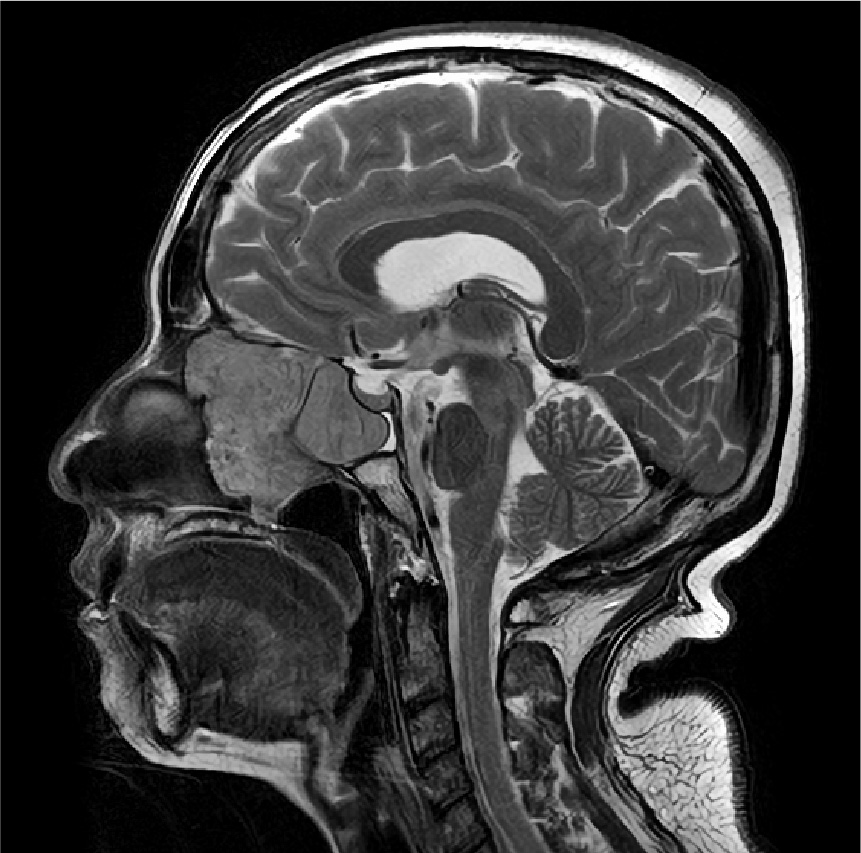
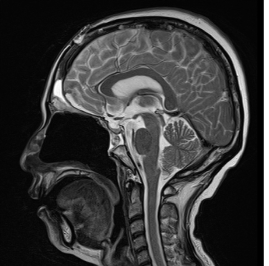
嗅神経芽細胞腫:鼻腔上部に発生する悪性腫瘍

術前MRI

術後MRI
三叉神経痛、顔面けいれん(内視鏡を使った神経血管減圧術)
内視鏡で隅々まで見ることができるので、顔面けいれんや三叉神経痛に対する神経血管減圧術も傷や剃毛を最小限で済ませるようにしていますので、好評です。

従来の顕微鏡


同部位に内視鏡を入れた手術中の映像
- ✔️同じ場所に内視鏡を入れ広角視野が得られ周囲の神経や血管、死角が見えるように!
- ✔️そのため創部もより小さく、安全な手術が可能に!

当院での手術後の傷痕(ほとんどわかりません)
脳血管障害(脳出血、脳動脈瘤、脳動静脈奇形、脳虚血)
バイパス手術(脳梗塞の予防のために皮膚の血管と脳の血管を縫い合わせる手術)
3D外視鏡を用いてより鮮明が画像下で手術を行うことで安全・確実な手術が可能です。


直径1mm弱の血管を縫合
脳出血
当院では脳出血に対する内視鏡下血腫除去術を積極的に行っています。4㎝の皮膚の傷、1.5㎝の穴を頭蓋骨にあけ10㎜のシリンダーを使用して内視鏡観察下に血腫を吸引除去します。素早く安全に血腫を除去し、責任血管の処理を行うことができます。
リハビリが早く進み、回復も早いです。


