脊椎内視鏡手術
症例に応じて、内視鏡手術を実施しています。当院では7-8mm径の細い内視鏡(カメラ付きの細い管)を用いた全内視鏡下脊椎手術(Full endoscopic spine surgery;FESS)を行っています。主に腰部脊柱狭窄症や腰椎椎間板ヘルニアに対して行うことが多く、頚椎椎間孔狭窄(ヘルニア)に対しても効果が期待されます。
従来の脊椎手術では、背中の筋肉や骨を大きく切開する必要があり、身体への負担や術後の痛み、回復までの期間が長くなる傾向があります。しかし、全内視鏡下手術では、わずか数ミリの小さな切開から内視鏡を挿入し、術野をモニターで確認しながら専用の器具で病変部分を処置します。病変に対してカメラを近接させることができ、術中の視認性が良いため、より精密な操作が可能となります。最大の特徴は、筋肉や骨へのダメージを最小限に抑えられることにあります。また、術中出血量が少なく、感染リスクが引きことも利点と言われています。術後の痛みが少ないため術後の回復が早く、入院期間は3〜5日程度で、社会復帰もスムーズになります。
一方で、この手術は高度な技術や経験が必要とされ、実施できる医療機関は限られているのが現状です。対象となる疾患にも制限がありますが、我々は積極的に取り組むようにしており、今後も脊椎内視鏡手術の発展に貢献してきたいと考えています。
全内視鏡下腰椎椎間板切除術
(Full endoscopic lumber discectomy;FELD、Percutaneous endoscopic lumber discectomy;PELD)
腰椎椎間板ヘルニアが対象となります。
全身麻酔下で行います。8mmの切開を1箇所作成し、水を灌流しながら内視鏡を挿入し、鉗子と呼ばれる手術器具でヘルニアを摘出していきます。必要に応じてドリルで骨の掘削を行いますが、従来の脊椎手術と比べて組織損傷を最小限にとどめることができるため、術後の負担が非常に小さいです。
手術時間は1〜2時間程度です。手術前日に入院し、手術後は当日夕方あるいは翌朝から歩行を開始し、手術翌日あるいは翌々日に退院となります(2泊3日〜3泊4日)。術後あとは早期に社会復帰が可能です。

術前MRI:大きなヘルニア
(左図の矢印、右図の丸印)
を認め神経を強く圧迫しています
術後:ヘルニアは完全摘出され、神経の圧迫が解除されています。
右図は背中から見た腰椎を示していますが、
少量の骨削除による開窓でヘルニアが摘出されました。
術中写真:





全内視鏡下椎弓切除術
(Full endoscopic laminectomy;FELD、Percutaneous endoscopic laminectomy;PEL)、2孔式内視鏡下椎弓切除術(Unilateral biportal endoscopy;UBE、Biportal endoscopic spine surgery;BESS、assisted Full endoscopic spine surgery;aFESS)
腰部脊柱管狭窄症が対象となります。
全身麻酔下で行います。8mmの切開を1箇所あるいは2箇所作成し、水を灌流しながら内視鏡や手術器具を体内に挿入し、加齢変化により分厚くなった骨や靱帯を切除し、神経の通り道(脊柱管)を広げて圧迫を取り除きます。特に、近年発達している2孔式手術は、使用できる器具の幅が広く、従来行われている顕微鏡下手術に近い感覚で操作を行うことが可能であり、除圧効果は同等以上とも言われています。その汎用性は高く、複数病変や変形や癒着のある例にも対応が可能であり、手技の幅としても除圧固定術にも応用が期待されます。
手術時間は2時間前後です。手術前日に入院し、手術後は当日夕方あるいは翌朝には歩行を開始し、手術2〜3日目に退院となります(4泊5日程度)。手術後は早期に社会復帰が可能となります。
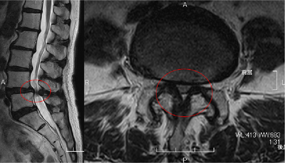
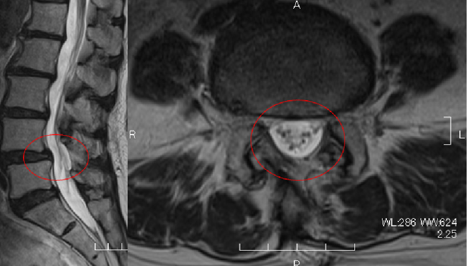
【第4/5腰椎部腰部脊柱管狭窄症に対する2双式内視鏡下椎弓切除(aFESS)の実例】

術前MRI:靱帯や骨が厚く変性し、
神経の通り道(脊柱管)が狭くなっています(丸印)。
術後MRI:厚くなった靱帯や骨が切除され、
脊柱管が広くなっています(丸印)。
術中写真:




